처음에는 오른쪽 엉치가 아팠는데 왼쪽이 아프면서 마비가 오고 움직이지를 못하겠어요. 통증이 내려치는데 아기 낳을 때 통증 있잖아요. 그건 저리 가라 그럴 정도였어요. 일주일 동안 4kg 빠졌어요. 통증이 그렇게 심하더라니까요. 마약 진통제도 안 들었어요.
병원에서 진료 받는데도 통증이 심해서 누웠다니까요. 못 걷고 못 앉고, 못 걸어서 휠체어 타고 다니고 또 진료실 앞 의자에 누워 있고요.
협착이 한 40년 됐어요. 2시간씩 파크 골프 치러 다녔더니 무리가 갔어요. 새벽 5시에 일어나서 7시 반까지 파크 골프 치고 또 나와서 복지관에서 라인 댄스, 근력 운동 하고 집에 오면 모여서 윷놀이 하고 너무 무리를 했어요. 그렇게 무리를 했는데 엉치가 아파오더라고요. 양쪽이 내려 앉아버렸어요. 올 봄부터는 갑자기 악화됐어요.
안동에서 신경주사도 얼마나 많이 맞았는데요. 안동에서 주사 맞고 뭘 해도 통증이 좋아지질 않아서 서울로 올라와서 병원 몇 군데를 돌아다녔어요. 통증의학과에서 마약 진통제를 써보자고 했는데 그래도 낫지 않아서 떼굴떼굴 굴렀어요.
OO대학병원에 예약을 했거든요. 피검사, MRI검사를 하고 진료를 받았어요. 늦어서 시술은 안 되고 ‘나사 박는 거 두 번 해야 합니다’ 이러더라고요. 협착수술부터 먼저 한 번 하고 전방전위 수술 두 번 해야 된다고 했어요. 그래서 수술 예약을 다 했거든요.
OO대학병원에서 10월 23일 수술 예약을 했고 수술 날짜까지 한 달 보름 정도가 남았는데 그새 통증이 너무 심해서 아파서 참을 수가 없는 거예요. 딸이 ‘엄마, 통증 잡는 데는 한방병원이 좋다고 하니까 가자’ 인터넷 찾아보더니 ‘모커리 원장님은 경희한의대도 나왔고 진료를 잘 보니까 모커리 가보자’ 이래서 왔어요. 인터넷 찾아서.
수술하기 전에 임시방편으로 통증치료하러 왔어요. 나을 거라는 생각도 못하고. 딸들도 처음에 ‘엄마, 믿을 수는 없지만 일단 엄마 통증이라도 가라 앉히게 믿고 가보자’ ‘원장님 말씀이 신빙성이 있으니까 믿고 몸을 맡겨 봐, 낫는다고 생각하자’고 해서. 안동에 있는 친구들이 ‘한방병원에서 침 맞아서 잠깐 괜찮지’, ‘양방병원에 안 가고 어떻게 낫겠냐’고 친구들도 그랬어요.
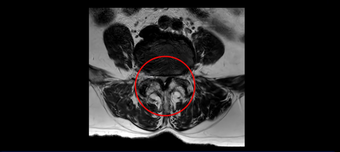
먼저 이분 MRI를 보고 자세히 설명해 드린 후 어떻게 허리 여러 마디에서 협착과 전방전위로 신경이 심하게 눌려 보이는 환자가 수술 없이 좋아질 수 있는지, 또 치료는 어떻게 하는지 설명해 드리겠습니다.
이분 MRI 보시면 허리 3마디의 퇴행이 매우 심합니다.

4번 5번에는 뼈가 밀려 나간 전방전위증도 있고,

또 척추관협착도 매우 심합니다.

척추관이 심하게 좁아져 있습니다.

이렇게 여러 마디가 안 좋고 뼈도 밀려 나가 있으니까 나사박는 수술해야 하는데, 대학병원에서도 수술을 한 번에 못 하고 두 번에 나눠서 해야 한다고 들으셨습니다. 왼쪽으로 신경가지가 빠져나가는 추간공도 많이 좁아져 있습니다.

이렇게 신경 구멍들이 좁아져 있고 신경이 눌리니까 엉덩이와 다리가 너무 저리고 아파서 아예 일어서질 못하니까 휠체어를 타고 병원에 내원하셨는데요. 그럼 어떻게 이분처럼 신경이 눌려있는 환자분들을 수술 없이 치료해서 잘 걷게 만들고 엉덩이와 다리가 저리고 아픈 증상이 사라지게 할까요? 지금부터 설명해 드립니다.
협착증과 전방전위증이 왜 수술 없이 치료가 가능한지를 알려면 반드시 무증상 협착과 무증상 전방전위에 대해 알아야 합니다. 60, 70, 80세로 나이가 많아질수록 거의 모든 사람에게 협착이 생깁니다. 또 뼈가 밀려 나가는 전방전위도 많은 사람들에게 생깁니다. 협착이란 척추가 늙으면서 퇴행성 변화로 신경구멍이 좁아지는 걸 의미합니다. 척추가 늙으니까 디스크도 늙고 뼈도 늙고 인대도 늙으니까 조금씩 변성되고 찌그러지면서 신경구멍을 좁히는 겁니다. 또 척추 뼈도 조금씩 밀려 나갈 수 있습니다. 그래서 60세 이상이 되면 수많은 사람들에게 협착증과 전방전위증이 생깁니다. 그런데 이렇게 협착과 전방전위가 있어도 아프지 않은 사람들이 아주 많습니다. 이렇게 협착과 전방전위가 있지만 아프지 않고 아무 증상도 없는걸 무증상협착, 무증상 전방전위증이라고 합니다.
그럼 똑같이 협착과 전방전위가 있는데 왜 어떤 사람은 아프고 어떤 사람은 안 아플까요? 이게 바로 협착증과 전방전위증이 수술 없이도 좋아질 수 있는 가장 중요한 이유입니다. 그건 바로 허리의 근육 기능 차이 때문입니다. 60세가 넘으면 누구나 다 근육이 줄어들고 약해지지만 심하게 뭉치고 굳어버리고 뒤틀리는 사람이 있고 반면에 심하게 뭉치거나 굳거나 뒤틀리지 않고 근기능을 잘 유지하는 사람들이 있습니다. 이렇게 근육에 별문제 없이 근기능을 잘 유지하면 허리에 협착이 있어도 협착증 증상이 없을 가능성이 높습니다. 또 허리에 협착이 있는 상태에서 무리한 일이나 운동 등으로 근육이 뭉치고 굳고 뒤틀리기 시작하면 허리를 지지하는 기능이 떨어지니까 신경이 눌리기 쉽습니다. 그래서 무리하게 일하거나 운동한 후에 갑자기 협착증이 발병했다고 하는 사람들이 많습니다.
이분도 허리에 협착과 전방전위가 오래전부터 있었지만 잘 걷고 운동하고 취미활동 하며 사셨습니다. 그런데 어느 날 파크 골프와 라인 댄스를 무리하게 한 후에 급격하게 엉덩이와 다리에 극심한 통증이 발생합니다. 무리한 운동을 했다고 신경구멍이 갑자기 좁아지는 일은 없습니다. 신경구멍이 좁아진 건 이미 오래전 일이고 무리한 운동을 하면서 근육에 문제가 생기면서 근육이 허리를 잘 지지하지 못하게 되니까 신경눌림 증상이 심해진 것이죠.
그래서 근육신경재활치료로 뭉치고 굳고 뒤틀린 근육의 문제를 해결해 주고 근육의 기능을 회복시키면 신경이 훨씬 덜 눌리게 되고, 아프지 않은 무증상 협착 상태로 바뀌는 겁니다. 근육재활치료를 통해 근육 기능이 좋아지면 신경 기능이 함께 좋아지는 것이죠. 그래서 저희 치료 이름이 근육신경재활치료인겁니다. 저희는 이런 놀라운 사실을 널리 알리기 위해 매주 이렇게 치료후기 영상도 찍어서 올리고, 미국 최고의 대학병원인 메이요클리닉과 지속적인 공동임상연구를 통해 근육신경재활치료의 효과를 해외의학 저널에 논문으로 발표도 하고 있습니다. 2019년에 발표한 논문과 2025년 발표한 전방전위증 논문에 대한 뉴스가 있습니다. 이 뉴스와 논문 내용을 보실 수 있습니다. 그럼 이런 근육신경재활치료는 어떻게 할까요?
근육신경재활치료는 협착증 환자의 약해지고 뭉치고 뒤틀린 근육 문제를 해결하기 위해 한방, 양방을 통틀어 근육에 관련된 할 수 있는 거의 모든 치료를 다 합니다. 침, 약침, 봉침, 이완추나, 근육의 피로를 풀어주는 한약, 도수치료, 물리치료, 운동치료까지 여러분이 일상적으로 많이 받고 계신 치료가 대부분 다 근육을 치료하는 겁니다.
그런데 협착증이라는 건 10년, 20년, 30년 이렇게 오랜 기간 근육이 줄어들고 약해지고 문제가 생기면서 발생하는 것이기 때문에 근육치료를 간단하게 몇 번 받는다고 해서 이런 오래된 근육 문제가 바로 해결되는 것이 쉽지 않습니다. 그래서 통원 치료보다는 입원 치료를 권하는 겁니다.
효과적인 치료를 위해 환자의 모든 일상생활을 중단하고 입원시켜 놓고 하루에도 4번 이상 허리 주변 근육을 치료하고 쉬고 치료하고 쉬고 치료하고 쉬고를 2주~4주 정도 반복합니다. 이런 집중적이고 반복적인 협착증 근육재활치료를 우리는 모커리 ABCDE 협착증 치료법이라고 부릅니다. 이런 집중된 반복 치료를 통해 근육 상태가 좀 좋아지면 운동도 시작하게 됩니다. 그런데 운동도 무리한 근력 운동은 오히려 증상을 더 악화시키기 때문에 가벼운 운동이지만 근육의 기능을 살려주는 운동인 누워서 하는 운동과 실내 걷기운동 등을 주로 하셔야 합니다. 이 운동에 대해 관심 있는 분들은 아래 영상을 보시길 바랍니다.
이렇게 입원해서 치료하고 쉬고 운동하고, 치료하고 쉬고 운동하고를 매일매일 2주~4주 정도 계속 반복해서 근육 상태가 좋아지면, 허리를 더 잘 지탱해 주니까 협착증 증상이 훨씬 더 좋아지게 됩니다.
그럼, 이분의 근육신경재활치료 결과는 어떻게 되었을까요? 엉덩이와 다리가 아파 일어서지고 못하셨는데 4주 만에 잘 걸을 수 있게 되었을까요? 통증이 90프로 이상 좋아지셨을까요? 근육신경재활치료의 장점은 허리가 재활을 통해 더 튼튼해지고 건강해지는 겁니다. 허리에 손상을 주는 수술과는 달리 근육재활치료는 허리에 어떠한 형태로든 손상이 없고 반대로 더 튼튼해지는 겁니다. 그게 정말 큰 장점이고 그래서 관리만 잘하고 가르쳐드린 가벼운 운동만 꾸준히 해주시면 치료효과가 오래도록 유지될 수 있는 겁니다. 또 근육신경재활치료는 환자가 80세 이상 고령이어도 별문제 없이 할 수 있다는 게 큰 장점입니다. 이분의 치료 후 결과가 궁금하시다면 아래 영상을 꼭 보시길 바랍니다.
모커리 척추관협착증 ABCDE 한·양방 협진 재활치료법은 수술 없이 협착증을 치료하는 모커리 고유의 비수술 치료방법입니다. 한쪽 다리의 통증만 있는 초기 협착증부터 다리에 힘이 빠지고 몇 걸음 걷지 못하는 말기 협착증까지 ABCDE 척추관협착증 비수술 치료법으로 치료하고 있습니다. 모커리는 수준 높은 임상연구를 통하여 말기 협착증 환자가 ABCDE 재활치료로 통증 없이 걷는 거리가 11배 증가했다는 것을 과학적으로 객관적으로 증명하여 국제학술지에 논문을 발표했습니다.

보다 많은 환자분들과 건강정보를 공유하고자 개방형 게시판으로 건강상담을 운영하고 있습니다. 목과 허리 통증•디스크•협착증•교통사고•어깨•무릎 등 궁금하신 질문을 남겨주시면 전문의가 최대한 자세하게 답변 드립니다.
| 제목 | |||||||||
|---|---|---|---|---|---|---|---|---|---|
|
|||||||||
|
|||||||||
|
|||||||||
|
|||||||||